Choroby dyskowców, sposoby leczenia oraz leki, diagnoza za pomocą mikroskopu.
Moderatorzy: niki 28, _TOM_, Kazimierz1961
-
marcinek230480
- junior

- Posty: 97
- Rejestracja: 03 cze 2006, 09:40
- Lokalizacja: Ostróda
Post
autor: marcinek230480 » 24 kwie 2007, 09:13
Witam kolegów, dwa dni temu w jednym z akwariów sterylnych znalazłem owe stworzenie, dodam że w tym zbiorniku przebywała jedna z rybek która od jakiegoś czasu niechciała jeść i były z nią równiez inne ryby.
Tych dziwnych stworzeń znalazłem kilka, maja od 3mm do 5-6 mm, poruszają sie charakterystycznie tzn wykonują powolne ruchy jedna i drugą strona ciała nie zależnie od siebie, (nie jest to ten robaczek co porusza sie jak żmijka w akwarium), posiada ono zgrubienie na środku ciała.
Czy jest to coś groźnego dla ryb? Ewentualnie jak sie tego pozbyć.
Przesyłam kilka fotek.
Z góry dziękuje za pomoc.
-
Załączniki
-

- DSC05514.JPG (14.34 KiB) Przejrzano 6801 razy
-
marcinek230480
- junior

- Posty: 97
- Rejestracja: 03 cze 2006, 09:40
- Lokalizacja: Ostróda
Post
autor: marcinek230480 » 24 kwie 2007, 09:14
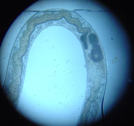
zdjęcie środka ciała.
-
Załączniki
-

- DSC05517.JPG (25.01 KiB) Przejrzano 6801 razy
-
marcinek230480
- junior

- Posty: 97
- Rejestracja: 03 cze 2006, 09:40
- Lokalizacja: Ostróda
Post
autor: marcinek230480 » 24 kwie 2007, 09:15
No i głowa
-
Załączniki
-

- DSC05520.JPG (15.79 KiB) Przejrzano 6797 razy
-
marcinek230480
- junior

- Posty: 97
- Rejestracja: 03 cze 2006, 09:40
- Lokalizacja: Ostróda
Post
autor: marcinek230480 » 24 kwie 2007, 09:16
A tak wyglądał na szkiełku, przepraszam za jakość.
-
Załączniki
-

- DSC05508.JPG (11.44 KiB) Przejrzano 6791 razy
-
vega1
- entuzjasta

- Posty: 1214
- Rejestracja: 21 mar 2005, 23:54
- Imie i Nazwisko: Sławomir Nazimek
- Miejsce zamieszkania/miasto/: Rzeszów
- Lokalizacja: Rzeszów,Kraków
Post
autor: vega1 » 24 kwie 2007, 11:03
Trzeba by tu któregoś z Adamów. Ja pojęcia nie mam ale widzę że małe to nie jest. Tasiemiec??
-
marcinek230480
- junior

- Posty: 97
- Rejestracja: 03 cze 2006, 09:40
- Lokalizacja: Ostróda
Post
autor: marcinek230480 » 24 kwie 2007, 11:16
Też tak myślałem na początku ale jak wziąłem to ustrojstwo pod mikroskop to nie widziałem charakterystycznych członów z jakich zbudowane są tasiemce.
-
birdas
- entuzjasta

- Posty: 1943
- Rejestracja: 14 lut 2007, 22:40
- Imie i Nazwisko: Marcin Spychała
- Miejsce zamieszkania/miasto/: Jelenia Góra
- Lokalizacja: Jelenia Góra
Post
autor: birdas » 24 kwie 2007, 12:00
Kurcze zapomniałem nazwy ale jak dla mnie to jest to ten robaczek, który jest nieszkodliwy dla paletek, uwielbiają go jeść np. gurami i pojawia się w przypadku obfitego karmienia mięskiem.

-
stanpiter
- członek PKMD
- Posty: 3299
- Rejestracja: 13 sty 2005, 12:38
- Imie i Nazwisko: Piotr Stanaszek
- Lokalizacja: Maków Podhalański
Post
autor: stanpiter » 24 kwie 2007, 12:26
birdas pisze:Kurcze zapomniałem nazwy ale jak dla mnie to jest to ten robaczek, który jest nieszkodliwy dla paletek, uwielbiają go jeść np. gurami i pojawia się w przypadku obfitego karmienia mięskiem.

Wypławek?, oj chyba nie
-
marcinek230480
- junior

- Posty: 97
- Rejestracja: 03 cze 2006, 09:40
- Lokalizacja: Ostróda
Post
autor: marcinek230480 » 24 kwie 2007, 13:14
Robaczki o których Marcin mówisz poruszają sie jak żmijki, wiem o jakie co chodzi bo u mnie w ogólnym tez sa takie i nawet paletki nieraz je jedzą, ale to stworzenie porusza sie inaczej, powoli porusza jedną i druga strona ciała, dopiero pod mikroskopem widac gdzie jest głowa a gdzie reszta.
-
vega1
- entuzjasta

- Posty: 1214
- Rejestracja: 21 mar 2005, 23:54
- Imie i Nazwisko: Sławomir Nazimek
- Miejsce zamieszkania/miasto/: Rzeszów
- Lokalizacja: Rzeszów,Kraków
Post
autor: vega1 » 24 kwie 2007, 13:14
Wypławek to nie jest na pewno. Na drugim zdjęciu to coś jest dość długie i zgięte. Wypławki tak nie wyglądają,tyle wiem

-
birdas
- entuzjasta

- Posty: 1943
- Rejestracja: 14 lut 2007, 22:40
- Imie i Nazwisko: Marcin Spychała
- Miejsce zamieszkania/miasto/: Jelenia Góra
- Lokalizacja: Jelenia Góra
Post
autor: birdas » 24 kwie 2007, 13:27
Tak - miałem na myśli wypławka. No ale skoro to nie to, to nie wiem

-
adamn
- entuzjasta

- Posty: 967
- Rejestracja: 20 lut 2006, 10:50
- Lokalizacja: Wrocław
Post
autor: adamn » 24 kwie 2007, 20:34
Jakie jest powiększenie
IMO to nicień na 80% lub płaziniec jelitowy na 20 %
Jutro sprawdzę dokładnie jak coś masz jeszcze ze zdjęć to podeślij.
Adam
-
marcinek230480
- junior

- Posty: 97
- Rejestracja: 03 cze 2006, 09:40
- Lokalizacja: Ostróda
Post
autor: marcinek230480 » 24 kwie 2007, 20:36
Owszem zdjęcia mam, ale nie całego robala, tylko jego części bo cały mi w okularze sie nie mieści, jutro zrobie wiecej zdjęć i wstawię. Adamie jak to wytępić?
-
marcinek230480
- junior

- Posty: 97
- Rejestracja: 03 cze 2006, 09:40
- Lokalizacja: Ostróda
Post
autor: marcinek230480 » 24 kwie 2007, 20:40
Zdjęcia robione w najmniejszym powiększeniu czyli 60
-
marcinek230480
- junior

- Posty: 97
- Rejestracja: 03 cze 2006, 09:40
- Lokalizacja: Ostróda
Post
autor: marcinek230480 » 24 kwie 2007, 20:44
Kolejne fotki
-
Załączniki
-

- DSC05515.JPG (21.89 KiB) Przejrzano 6691 razy
Kto jest online
Użytkownicy przeglądający to forum: Obecnie na forum nie ma żadnego zarejestrowanego użytkownika i 16 gości